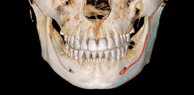
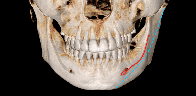
By using X-ray and CT scans, we consider the exact location of nerve lines and muscle shapes to accurately diagnose and plan the surgical method. The width and length of the chin tip are then designed to achieve the shape desired by the patient.
Ultimately, these are all surgical techniques aimed at creating an aesthetically pleasing facial contour. A doctor of medicine from Seoul National University, experienced in facial contouring, diagnoses the ideal facial proportions. He then performs surgery, tailored to each patient, using skillful techniques and a delicate touch.


Surgery duration
:
1hour ~ 1hour 30 mins
Anesthesia method
:
Sedation anesthesia
In-hospital treatment
:
1~2 times
Recovery period
:
7 days
Chin tip surgery
Chin surgery techniques vary depending on the shape of the chin.
1. Wide chin
By removing the central bone segment with a T-shaped osteotomy, the width of the front jaw can be reduced, providing a noticeable effect from the front.

Before surgery

3 month after surgery

Before surgery

3 month after surgery

Step 1: Customized Design
Design adjusted based on the width of the chin to determine the amount of reduction needed.

Step 2: Bone Resection
Resect and remove the chin bone through an incision inside the mouth.

Step 3: Bone Repositioning
Reposition the remaining bone segments on both sides to reduce the width of the chin.

Step 4: Fixation and Contouring
Secure the repositioned bone, then smooth out the side chin bone for a refined contour.
2. Long Chin
By performing a horizontal osteotomy to remove the central bone segment, the length of the front jaw is reduced. The squared jawline is then smoothed out to achieve a smaller, more refined chin.

Before surgery

4 month after surgery

Before surgery

4 month after surgery

Step 1: Bone Resection
Remove bone horizontally to reduce the length.

Step 2: Bone Shifting
Lift the lower bone segment upwards to reduce the length of the chin.

Step 3. Fixation and contouring
After fixing the bone ,the jaw bone on the side is smoothly resected.
3. Short Chin
By narrowing the wide jaw and shifting the bone downward to increase its length, correct a short chin, creating a slim and defined facial contour.

Before surgery

1 month after surgery

Before surgery

4 month after surgery

Step 1: Customized Design
Design the length to be increased and the width to be reduced for the jawbone.

Step 2: Osteotomy and Bone Repositioning
Instead of removing the cut bone, reposition it towards the underside of the chin to extend the length.

Step 3: Bone Fixation
Place and secure the remaining bone segments on top of the adjacent bone to reduce the width.

Step 4: Contouring the Jawline
Smoothly contour the protruding side jawbone. *During the recovery process, the empty space will fill in with bone.
4. Short chin tip
By cutting the tip of the chin horizontally and advancing it forward, you can achieve a more defined appearance, enhancing both the profile and the front view of the face.

Before surgery

7 month after surgery

Before surgery

7 month after surgery

Step 1: Osteotomy
Perform a horizontal osteotomy to cut the tip of the chin.

Step 2: Bone Advancement and Fixation
Advance the chin bone forward and secure it in place.
AB Solution
If a slimmer face shape from the front view is desired, it is advisable to combine chin tip surgery with square jaw surgery. Various osteotomy techniques are used, tailored to individual chin shapes and preferences, to create an attractive chin contour.

Chin tip reduction only
Uneven and non-smooth chin line

Chin tip reduction + Square jaw reduction combined
Smooth and slim chin line

Square jaw reduction only
Insufficient front view effect on the chin line

Square jaw reduction + Chin tip reduction combined
A slim chin line from both front and side views
Combining chin tip reduction with square jaw reduction results in a smooth chin line without any secondary angles and creates a slim face without the appearance of a widened jawline.
AB Special Advantages
Chin tip surgery, Reason for AB
1. Thorough Design through Nerve Line Location Identification
Identify the nerve line position using 3D-CT, plan the osteotomy range to avoid the nerve line, and perform the resection accordingly.

2. Refining the Protruding Jawline After Resection
Perform square jaw reduction surgery to smooth out and seamlessly connect the contours without any step-like effect.

3. Personalized Design Considering the Entire Face
By taking into account the balance of the face, the length, position, and shape of the chin are adjusted, allowing for a customized surgery that suits the specific chin shape.
Front view

Before surgery
8 month after surgery
45 degree

Before surgery
8 month after surgery
Side view

Before surgery
8 month after surgery
4. Slimming Effect from the Front with a Comprehensive Solution
By combining chin surgery and square jaw surgery, a slender and natural facial line can be achieved from both the side and front views.

Before surgery

6 month after surgery

Before surgery

5 month after surgery
5. AB’s medical team’s expertise
Because we don’t miss anything about effectiveness ,safety and beauty. Specialists with diverse know –how in facial bone surgery procedure optimal results.

Post-Operative Care for Chin tip Surgery
A post-surgery recovery care solution that doesn't miss the golden time of recuperation
Smart Lux

Manage bruising and swelling
with medical LED therapy equipment, which aids in healing post-surgery wounds and alleviating swelling and bruising
LDM

Skin Regeneration and Immunity Boost
Using ultrasound technology, it stimulates the activity of skin cells to soothe and regenerate the skin,enhancing overall skin health and immunity.
Radiofrequency Management

Lymphatic Circulation and Recovery Management
High-frequency energy is delivered deep into the skin to promote blood and lymphatic circulation, aiding in faster recovery.
Homecare kit

Systematic Home Care
For rapid recovery, a custom-made ABMan home care kit is provided, allowing for systematic management right at home.
Week 1
Smart Lux
Week 2
Removal of intraoral stitches
Smart Lux
Week 3
Smart Lux LDM
Week 4
CT Scan
Progress check with the attending physician
Smart Lux
Radiofrequency Management






Set of Three Facial Contouring Surgeries [Square Jaw + Cheekbone Reduction + Chin Tip Surgery] / Forehead lift / Face Fat Grafting 9 months after
Through the establishment of various safety management systems, 
patients can undergo surgery more safely.

An anesthesiology specialist monitors the patient in real-time during surgery and performs double and triple checks through a central monitoring system.

The entire process of the surgery, including pre-, during, and post-surgical procedures, is managed in real-time with a full-time anesthesiologist.

For safer surgery, we have established an in-hospital examination system. This allows us to perform a comprehensive pre-operative examination.

Through the establishment of various safety management systems, we ensure that patients can undergo surgery safely and with peace of mind.
Please note that the actual medical schedule may vary depending on each patient's individual condition,
such as health status, and the specific surgical procedures involved.
Tailored to meet individual needs,
our service ensures that your medical tourism journey is planned
with the utmost care and precision, considering your unique medical requirements
Date of surgery
Eye Surgery
Nose Surgery
Fatgraft
Lifting
Accu
Breast Surgery
Body Shaping
liposuction
Lip
Facial Contouring
Skincare
Stem Cells
| SUN | MON | TUE | WEN | THU | FRI | SAT | 
*Closed on Sundays and Public Holidays